開咬
2026年03月19日
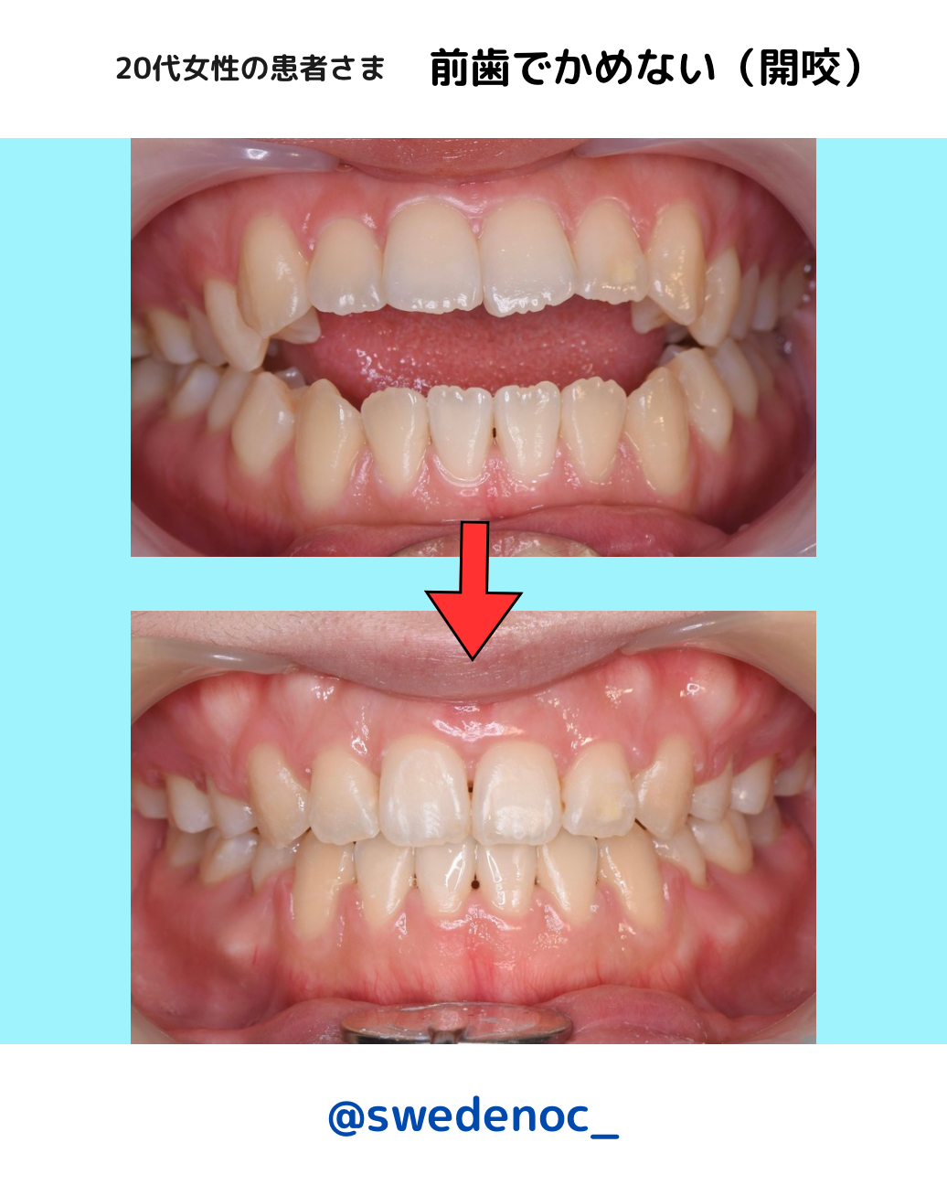
矯正治療を終えられた患者様のbefore、afterのご紹介です👇
20代女性、主訴「前歯で噛めない」
・矯正方法:上下表側に矯正器具
・矯正費用:約2年
・矯正期間:約160万円

インスタグラムには、他の症例の写真も載せてありますので、是非そちらもご覧ください( ・o・)!
🔗:https://www.instagram.com/swedenoc_/

2026年03月19日
矯正治療を終えられた患者様のbefore、afterのご紹介です👇
20代女性、主訴「前歯で噛めない」
・矯正方法:上下表側に矯正器具
・矯正費用:約2年
・矯正期間:約160万円

インスタグラムには、他の症例の写真も載せてありますので、是非そちらもご覧ください( ・o・)!
🔗:https://www.instagram.com/swedenoc_/
当院では、患者様が抱えていらっしゃるお口のお悩みや疑問・不安などにお応えする機会を設けております。どんなことでも構いませんので、私達にお話ししていただけたらと思います。ご興味がある方は下記からお問い合わせください。
