部分矯正、前歯のデコボコ、差し歯のための矯正(補綴前矯正)・銀座・歯列矯正
2019年09月13日
35歳女性、主訴は「下の前歯のデコボコ」でした。
デコボコが気になってしまい、人前で笑う時は手で口元を隠していました。
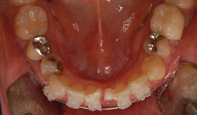
治療前: 前歯のみの治療を希望されました。

装置装着時: 前歯にのみブラケットをつけました。

治療後: 歯並びが綺麗になり、思いっきり笑えるようになりました!

院長のコメント: 治療期間は9か月でした。部分的な矯正が、患者さんの悩みを解決するのにとても有効なことがあります。
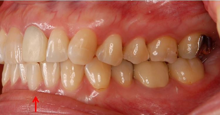
また、この症例では、矯正治療の恩恵がもうひとつありました。下の写真をご覧ください。
治療前: デコボコの歯がぶつかってしまい、上の前歯(差し歯)の高さが周りの歯と合っていない。例え1mmの高さの違いでも目立ってしまう事があります・・・

治療後: 下の前歯のデコボコが解消し、周りと調和の取れた差し歯を入れることができました!

上の前歯を治す時に、下の前歯を矯正すると、上の前歯の差し歯のクオリティーが飛躍的に向上することがあります。
但し、全体のバランスをみて「部分矯正」が適応できるか判断する必要があります。安易に行うと、歯は綺麗に並んだが、上下の前歯の間に前後的に大きな隙間ができた(過度なオーバージェット)やかみあわせが深くなる(ディープバイト)等の予期せぬ状態が生じることがあります。正確な診査・診断が矯正治療には常に求められます。






