再矯正スタート!①
2019年09月13日
受付の山田です。
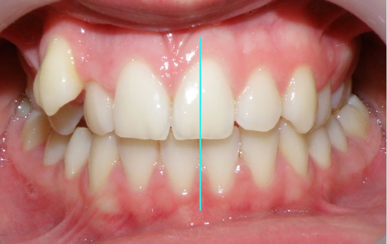
私は数年前に他医院でセラミックブラケットを使用した矯正をしましたが、上のリテーナー(矯正後、歯の後戻りを防ぐための装置)の一部が外れてしまい、前歯に隙間ができてしまいました


他にも歯の隙間があったり、今思うと大満足!と言える結果ではなかったため、インビザライン矯正(マウスピース矯正)をすることにしました!

インビザライン矯正は、患者に合ったマウスピースを製作するために、機械で歯をスキャンし歯型を取ります。歯型を取る前に、歯ブラシが届き難く歯肉がよく腫れて困っていた親知らずを抜いてしまおうと思いました
先生に紹介状を書いてもらい、いざ東京医科歯科大学病院へ…!
抜歯はこれで3度目ですが、初めての大学病院に緊張しましました(笑)
しかし、担当してくださった先生が、問診から抜歯まで優しく声を掛けてくれながら対応してくださり、安心して抜歯を終えることができました
抜歯後、麻酔が切れると若干痛みが出ましたが、痛み止めを1度飲めば収まりました。
次の日にはほとんど痛みはなく、下の親知らずでしたがあまり腫れませんでした。
食事も2日目位から普通のご飯を食べています

次のステップは「iTero」での歯型取りです
また体験談を記事にしますね





































