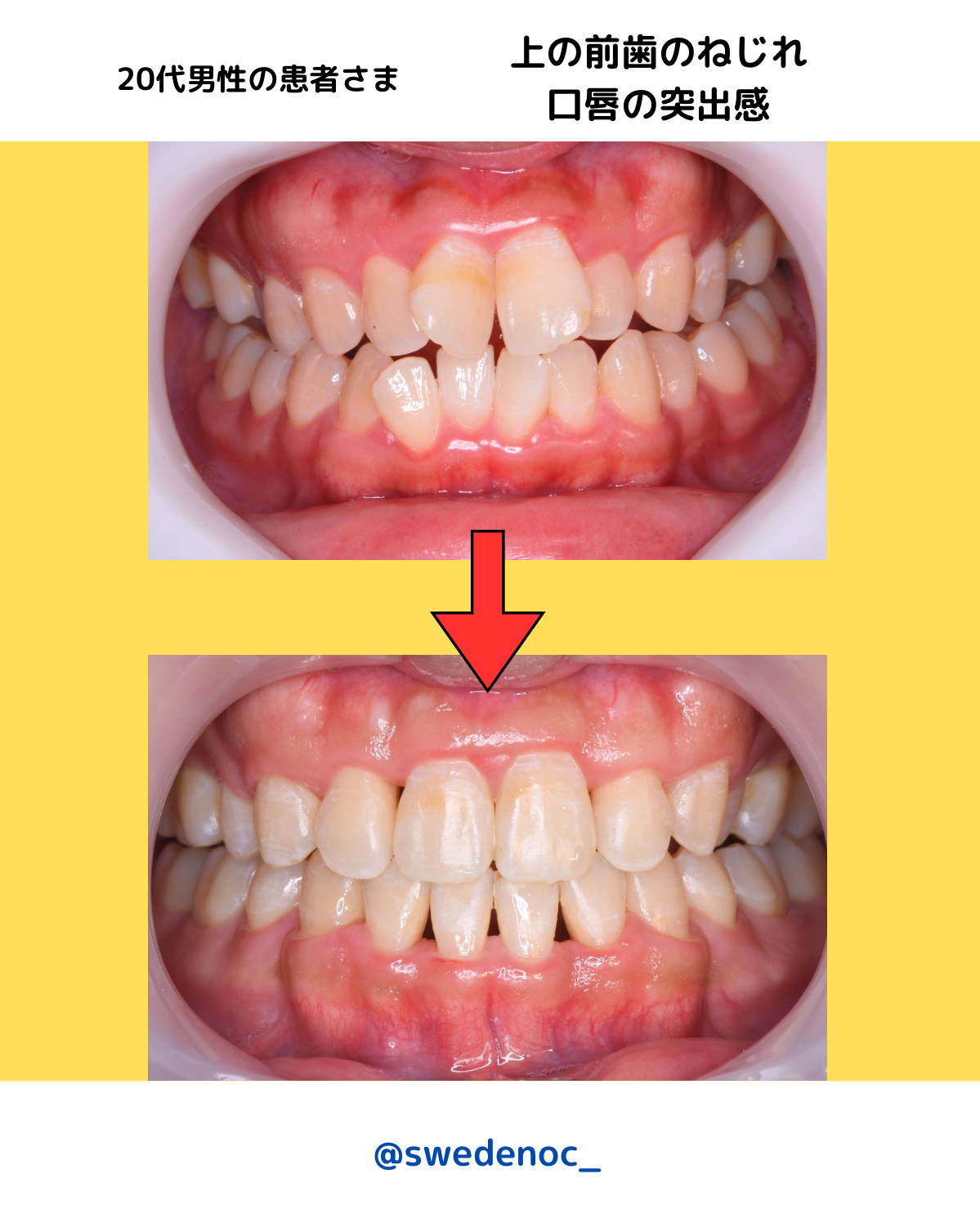
前歯のねじれ
2026年01月30日
矯正治療を終えられた患者様のbefore、afterのお写真です。👇
20代男性、主訴「前歯のねじれと口唇の突出感が気になる」
・矯正方法:上下表側に矯正器具
・矯正期間:約135万円
・矯正費用:約2年4ヶ月

インスタグラムには他の症例も載せてますので、是非ご覧ください!( ・o・)✨
🔗:https://www.instagram.com/swedenoc_/

2026年01月30日
矯正治療を終えられた患者様のbefore、afterのお写真です。👇
20代男性、主訴「前歯のねじれと口唇の突出感が気になる」
・矯正方法:上下表側に矯正器具
・矯正期間:約135万円
・矯正費用:約2年4ヶ月

インスタグラムには他の症例も載せてますので、是非ご覧ください!( ・o・)✨
🔗:https://www.instagram.com/swedenoc_/
2025年10月18日
矯正治療が終了した患者様のbefore、afterのご紹介です👇
10代女性、主訴「反対咬合が気になる」
・矯正方法:上下表側に矯正器具
・費用:約105万円
・期間:約2年1ヶ月

インスタグラムには他の症例も載せてありますので、是非ご覧ください(^o^)🎶
2025年08月19日
当院での矯正治療を終えられた患者様のbefore、afterの写真になります。👇
20代女性、主訴「口元を引っ込めたい」
・矯正方法:上下表側に矯正器具
・費用:約115万円
・期間:約2年6カ月

インスタグラムにはより詳しく載せてありますので、是非ご覧ください!🦷
🔗:https://www.instagram.com/swedenoc_/
2025年07月10日
治療を終えられた患者様のbefore、afterの写真になります。
30代女性、主訴「上下前歯が開いている」
矯正方法:上下表側に矯正器具
期間:約2年
費用:125万円

より詳しい内容はインスタグラムに載せてありますので、そちらをご覧ください(^O^)🦷
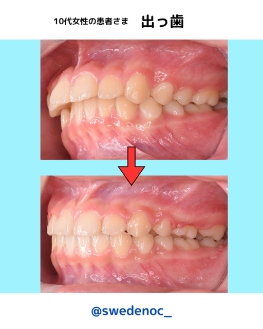
2025年06月12日
治療終了した方のbefore、afterです。👇
10代女性、主訴「出っ歯が気になる」
・矯正方法:上下表側に矯正器具
・費用:約137万円
・期間:約1年4カ月

インスタグラムにはより詳しく載せてありますので、是非ご覧ください。🦷
🔗:https://www.instagram.com/swedenoc_/
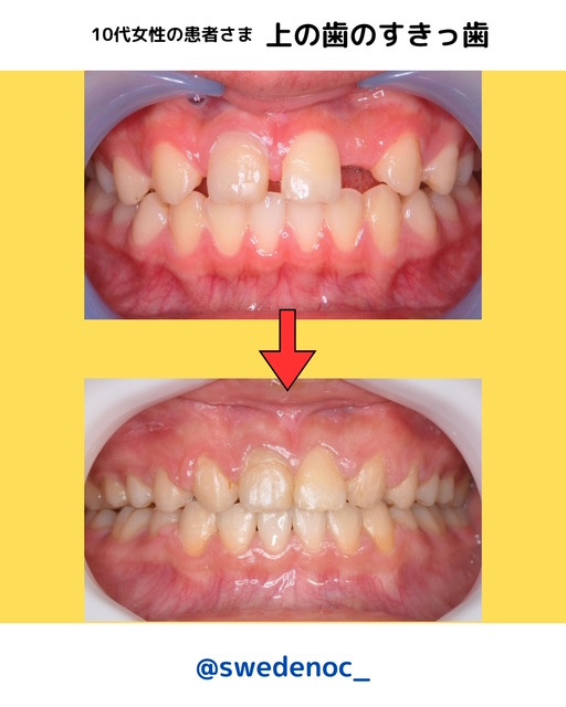
2025年05月19日
治療終わった方のbefore、afterになります。👇
10代女性、主訴「上の歯のすきっ歯が気になる」
・矯正方法:上下表側に矯正器具
・費用:約125万円
・期間:約2年2か月

インスタグラムには他の症例も載せてありますので、是非ご覧ください。(^O^)
🔗:https://www.instagram.com/swedenoc_/
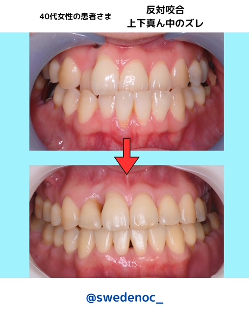
2025年04月10日
治療終えられた患者様のbefore、afterです👇
40代女性、主訴「反対咬合と上下真ん中のズレが気になる」
・矯正方法:上下表側に矯正器具
・費用:約125万円
・期間:約3年9カ月


インスタグラムには、より詳しく載せてありますので是非ご覧ください。🦷
2025年03月24日
治療終えられた患者様のbefore、afterの写真です。
20代男性、主訴「受け口を治したい」
・治療方法:上下表側に矯正器具
・費用:約115万円
・期間:約2年


インスタグラムではより詳しく経過写真なども載せてありますので、ご覧ください。👇
🔗:https://www.instagram.com/swedenoc_/
2025年03月21日
治療終えられた患者様のbefore、afterの写真になります。
20代女性、主訴「出っ歯、かみ合わせが深い」
・矯正方法:上下表側に矯正器具
・費用:約148万円
・期間:約2年


インスタグラムではより詳しく経過写真なども載せてありますので、ご覧ください。👇
2019年09月13日
受付の山田です。
インビザライン矯正のマウスピースが届きました!
写真は記念すべき1つ目です。(全部で48あります)

このマウスピースを1週間程度装着し、2つ目に進みます。
次回は更に次のステップの様子をご報告しますね!
当院では、患者様が抱えていらっしゃるお口のお悩みや疑問・不安などにお応えする機会を設けております。どんなことでも構いませんので、私達にお話ししていただけたらと思います。ご興味がある方は下記からお問い合わせください。
