すきっ歯
2026年04月18日
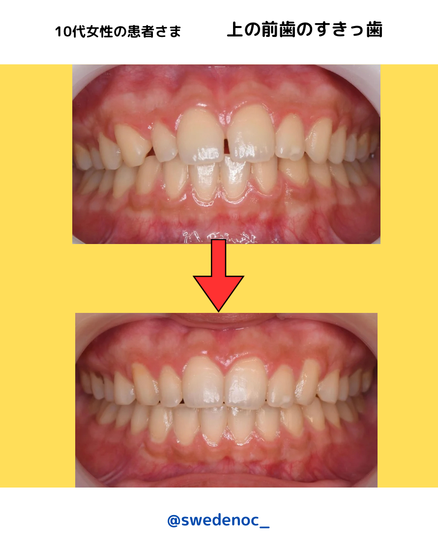
矯正治療を終えられた患者様のbefore、afterのご紹介です!👀
10代女性、主訴「上の前歯のすきっ歯が気になる」
・矯正方法:上下表側に矯正器具
・矯正期間:約1年4ヶ月
・矯正費用:約115万円

インスタグラムには他の症例も載せてありますので、是非そちらもご覧ください。( ・o・)👇

2026年04月18日
矯正治療を終えられた患者様のbefore、afterのご紹介です!👀
10代女性、主訴「上の前歯のすきっ歯が気になる」
・矯正方法:上下表側に矯正器具
・矯正期間:約1年4ヶ月
・矯正費用:約115万円

インスタグラムには他の症例も載せてありますので、是非そちらもご覧ください。( ・o・)👇
当院では、患者様が抱えていらっしゃるお口のお悩みや疑問・不安などにお応えする機会を設けております。どんなことでも構いませんので、私達にお話ししていただけたらと思います。ご興味がある方は下記からお問い合わせください。
