前歯のねじれ
2026年01月29日
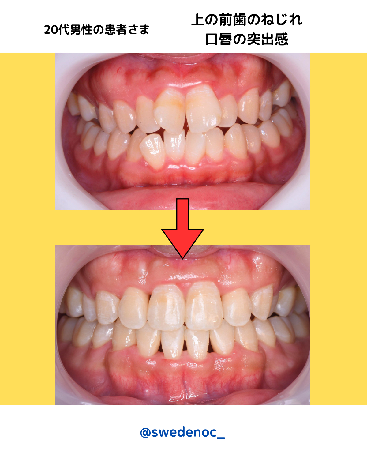
矯正治療が終わった患者様のbefore、afterのご紹介です。👇
20代男性、主訴「前歯のねじれと口唇の突出感が気になる」
・矯正方法:上下表側に矯正器具
・矯正費用:約135万円
・矯正期間:約2年4ヶ月

インスタグラムには、他の症例等も載せてあるので、是非そちらもご覧ください。( ・o・)

2026年01月29日
矯正治療が終わった患者様のbefore、afterのご紹介です。👇
20代男性、主訴「前歯のねじれと口唇の突出感が気になる」
・矯正方法:上下表側に矯正器具
・矯正費用:約135万円
・矯正期間:約2年4ヶ月

インスタグラムには、他の症例等も載せてあるので、是非そちらもご覧ください。( ・o・)
当院では、患者様が抱えていらっしゃるお口のお悩みや疑問・不安などにお応えする機会を設けております。どんなことでも構いませんので、私達にお話ししていただけたらと思います。ご興味がある方は下記からお問い合わせください。
